+91-8448449837
dramitkapoor@yahoo.com
Book Appointment
Menu
Home
About Us
Services
Brain Tumors
Cerebro Vascular
Pediatric Neurosurgery
Epilepsy
Functional Neurosurgery
Brain and Spine Trauma
Degenerative Spine
Spinal Tumors
Neuro Rehablitation
Academics
Publication
Award
Cases
Cases-II
Testimonials
Contact Us
Cases
Home /
Cases
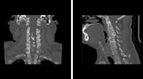
1. Atlanto-axial dislocation
2. Arnold chiari malformation with syrinx.
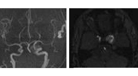
3. Anterior communicating artery aneurysm- coiling.
4. Anterior cranial fossa meningioma
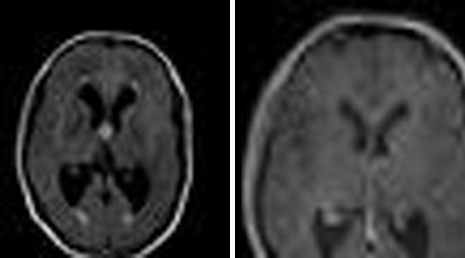
5. Aqueductal stenosis.
6. Arachnoid cyst
7. Artificial cervical disc
8. Artificial lumbar disc.
9. Brain abscess - excision
10. Brain metastasis- Carcinoma lung
11. C2 neurofibroma
12. Cavernoma with bleed-insular.
13. Corpus callosum glioma-Stereotactic biopsy
14.Carotico-cavernous fistula= coiled
15. Cervical Limited Dorsal Myeloschesis
16. Cervical epidural hematoma- Drug induced
17. Cervical micro-instability
18. Cervical listhesis- degenerative
19. Cervical listhesis -traumatic
20. cholestatoma
21. Clival chondroma
22. Colloid cyst
23. Congenital scoliosis.
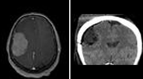
24. Convexity meningioma.
25. Cranial gunshot.
26. Cranio-vertebral junction neurofibroma
27. Craniostnosteosis-craniofacial advancement
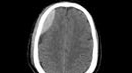
28. Extradural hematoma
29. Encephalocele
30. Gaint ICA aneurysm
31. Lymphoma- stereotactic biopsy
32. ICA-IJV fistula- Skull base
33. Insular glioma
34. Intraventricular meningioma
35. Vertebroplasty
36. Left temporal glioma
37. Lumbar spondylolysis- pars defect
38. Lumbar dynamic stablization
39. Medulloblastoma
40. Mesial temporal sclerosis- temporal lobe epilepsy
41. Multiple myeloma -thoracic
42. OPLL- corpectomy
43. OPLL- laminoplasty
44. Orbital meningioma
45. Osteoporotic listhesis
46. Parasagittal meningioma
47. Planum sphenoidale meningioma
48. Posterior fossa meningioma
49. Posterior third parasagittal meningioma
50. Purged cervical facets